 |
Quistes hepáticos congénitos Quiste hepático simple |
 |
Quistes hepáticos congénitos Quiste hepático simple |
 |
Quistes hepáticos congénitos Quiste hepático simple |
 |
Quistes hepáticos congénitos Quiste hepático simple |
 |
Quistes hepáticos congénitos Quistes hepáticos simples |
 |
Quistes hepáticos congénitos Quiste hepático simple |
 |
Quistes hepáticos congénitos Quiste hepático con ecos en su interior |
 |
Quistes hepáticos congénitos Quistes hepáticos simples |
 |
Quistes hepáticos congénitos Quistes hepáticos simples |
 |
Quistes hepáticos congénitos Quistes hepáticos simples |
 |
Quistes hepáticos congénitos Quistes hepáticos simples |
 |
Quistes hepáticos congénitos Múltiples LOES hepáticas anecongénitas. Ascitis. |
 |
Quistes hepáticos congénitos Poliquistosis hepática |
 |
Quistes hepáticos congénitos Poliquistosis hepática |
 |
Neoplasias benignas Hemangiomas hepáticos. Lesión redondeada, bien delimitada, hiperecogénica, sin sombra posterior |
 |
Neoplasias benignas Hemangiomas hepáticos. Lesión redondeada, bien delimitada, hiperecogénica, sin sombra posterior |
 |
Neoplasias benignas Hemangiomas hepáticos. Doble hemangioma hepático |
 |
Neoplasias benignas Hemangiomas hepáticos. Hemangioma gigante (9cm de diámetro), con área central de necrosis |
 |
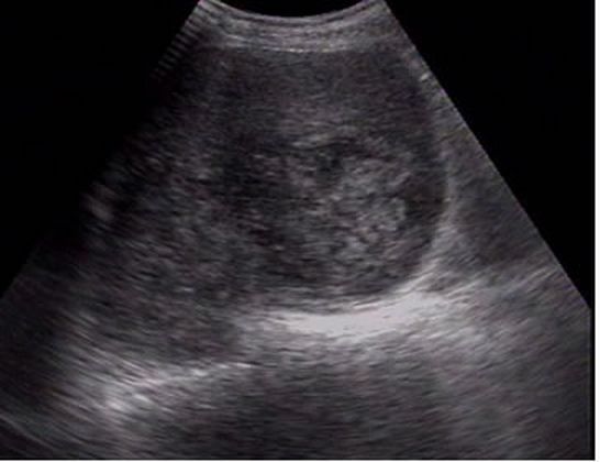
Neoplasias benignas Hiperplasia nodular focal (HNF). LOE hipoecogénica con cicatriz hiperecogénica central |
 |
Neoplasias benignas Hiperplasia nodular focal (HNF). LOE hipoecogénica con cicatriz central |
 |
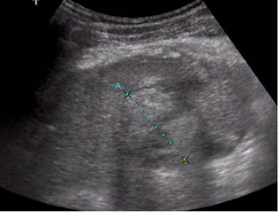
Neoplasias benignas Hiperplasia nodular focal (HNF). Vasos arteriales radiales desde la cicatriz central hacia la periferia |
 |
Neoplasias benignas Hiperplasia nodular focal (HNF). Estudio con doppler muestra vasos radiales desde el centro de la lesión hacia la periferia |
 |
Neoplasias benignas Adenoma hepático. Adenoma hepático con áreas de hemorragia intratumoral |
 |
Neoplasias malignas primarias Carcinoma hepatocelular |
 |
Neoplasias malignas primarias Carcinoma hepatocelular |
 |
Neoplasias malignas primarias Carcinoma hepatocelular |
 |
Neoplasias malignas primarias Carcinoma hepatocelular |
 |
Neoplasias malignas primarias Carcinoma hepatocelular |
 |
Neoplasias malignas primarias Carcinoma hepatocelular |
 |
Neoplasias malignas primarias Carcinoma hepatocelular pequeño tamaño |
 |
Neoplasias malignas primarias Carcinoma hepatocelular pequeño tamaño |
 |
Neoplasias malignas primarias Carcinoma hepatocelular <1 cm. |
 |
Neoplasias malignas primarias Carcinoma hepatocelular |
 |
Neoplasias malignas primarias Carcinoma hepatocelular |
 |
Neoplasias malignas primarias Carcinoma hepatocelular |
 |
Neoplasias malignas primarias Módulo satélite (flecha). Carcinoma hepatocelular |
 |
Neoplasias malignas primarias Módulo satélite (flecha). Carcinoma hepatocelular |
 |
Neoplasias malignas primarias Módulo satélite (flecha). Carcinoma hepatocelular |
 |
Neoplasias malignas primarias Módulo satélite (flecha). Carcinoma hepatocelular |
 |
Neoplasias malignas primarias Módulo satélite (flecha). Carcinoma hepatocelular |
 |
Neoplasias malignas primarias Módulo satélite (flecha). Carcinoma hepatocelular |
 |
Neoplasias malignas primarias Módulo satélite (flecha). Carcinoma hepatocelular |
 |
Neoplasias malignas primarias Módulo satélite (flecha). Carcinoma hepatocelular |
 |
Neoplasias malignas primarias Módulo satélite (flecha). Carcinoma hepatocelular |
 |
Neoplasias malignas primarias Módulo satélite (flecha). Carcinoma hepatocelular |
 |
Neoplasias malignas primarias Módulo satélite (flecha). Carcinoma hepatocelular |
 |
Neoplasias malignas primarias Módulo satélite (flecha). Metástasis suprarrenal derecha |
 |
Neoplasias malignas primarias Módulo satélite (flecha). Carcinoma hepatocelular |
 |
Neoplasias malignas primarias Módulo satélite (flecha). Carcinoma hepatocelular |
 |
Neoplasias malignas primarias Módulo satélite (flecha). Carcinoma hepatocelular |
 |
Neoplasias malignas primarias Módulo satélite (flecha). Carcinoma hepatocelular difuso |
 |
Neoplasias malignas primarias Módulo satélite (flecha). Carcinoma hepatocelular con aguja |
 |
Neoplasias malignas primarias Módulo satélite (flecha). Carcinoma hepatocelular con aguja |
 |
Neoplasias malignas primarias Módulo satélite (flecha). Carcinoma hepatocelular con aguja |
 |
Neoplasias malignas primarias Módulo satélite (flecha). Carcinoma hepatocelular |
 |
Neoplasias malignas primarias Trombosis portal. Carcinoma hepatocelular |
 |
Neoplasias malignas primarias Trombosis portal. Carcinoma hepatocelular |
 |
Neoplasias malignas primarias Vasos intratumorales. Carcinoma hepatocelular |
 |
Neoplasias malignas primarias Flujo arterial. Carcinoma hepatocelular |
 |
Neoplasias malignas primarias Vasos intratumorales arteriales. Carcinoma hepatocelular. Patrón basket |
 |
Enfermedad metastásica Metástasis hepáticas de carcinoma de páncreas |
 |
Enfermedad metastásica Metástasis hepáticas de carcinoma de mama |
 |
Enfermedad metastásica Metástasis hepáticas de carcinoma de mama |
 |
Enfermedad metastásica Metástasis hepáticas |
 |
Enfermedad metastásica Metástasis hepática única de adenocarcinoma |
 |
Enfermedad metastásica Metástasis hepática de adenocarcinoma |
 |
Enfermedad metastásica Metástasis hepáticas de carcinoma de páncreas |
 |
Enfermedad metastásica Metástasis hepáticas |
 |
Enfermedad metastásica Metástasis hepáticas |
 |
Enfermedad metastásica Metástasis hepáticas de carcinoma de mama |
 |
Enfermedad metastásica Metástasis hepática con aguja |
 |
Enfermedad metastásica Metástasis hepáticas de sarcoma mixoide |
 |
Enfermedad metastásica Metástasis hepática de carcinoma de mama |
 |
Enfermedad metastásica Metástasis hepática de carcinoma de mama |
 |
Enfermedad metastásica Metástasis hepática de carcinoma de mama |