Atlas Bazo
2.1. Esplenomegalia
| Imagen | Descripcion |
|---|---|
![]() |
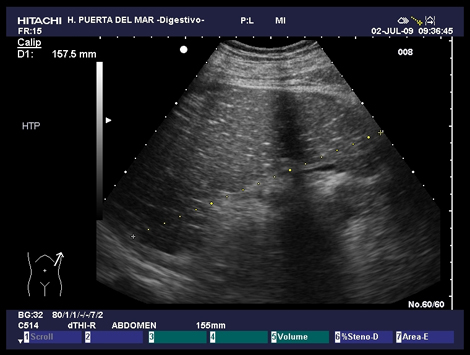
Esplenomegalia con pequeños focos hiperecoicos asociada a hipertensión portal Dra. Paloma Rendon Unceta |
![]() |
Esplenomegalia Dra. Carmen Garre |
Colabora
con la AEED
Si es usuario registrado, puede hacernos llegar su colaboración a través del siguiente formulario
Patrocinadores
de la AEED






